Skip to main content
Website designed with the B12 website builder. Create your own website today.
Start for free
(305)792-4366
vmlabtechnologies@gmail.com
VM Lab Technologies
Home
About
Cases
Photogrametry
Publications
Our Team
Contact
How It Works
More
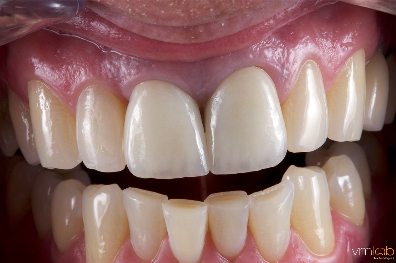
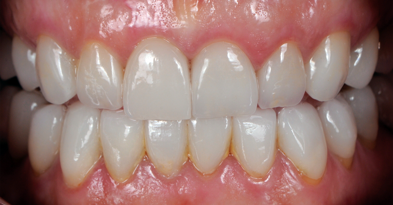
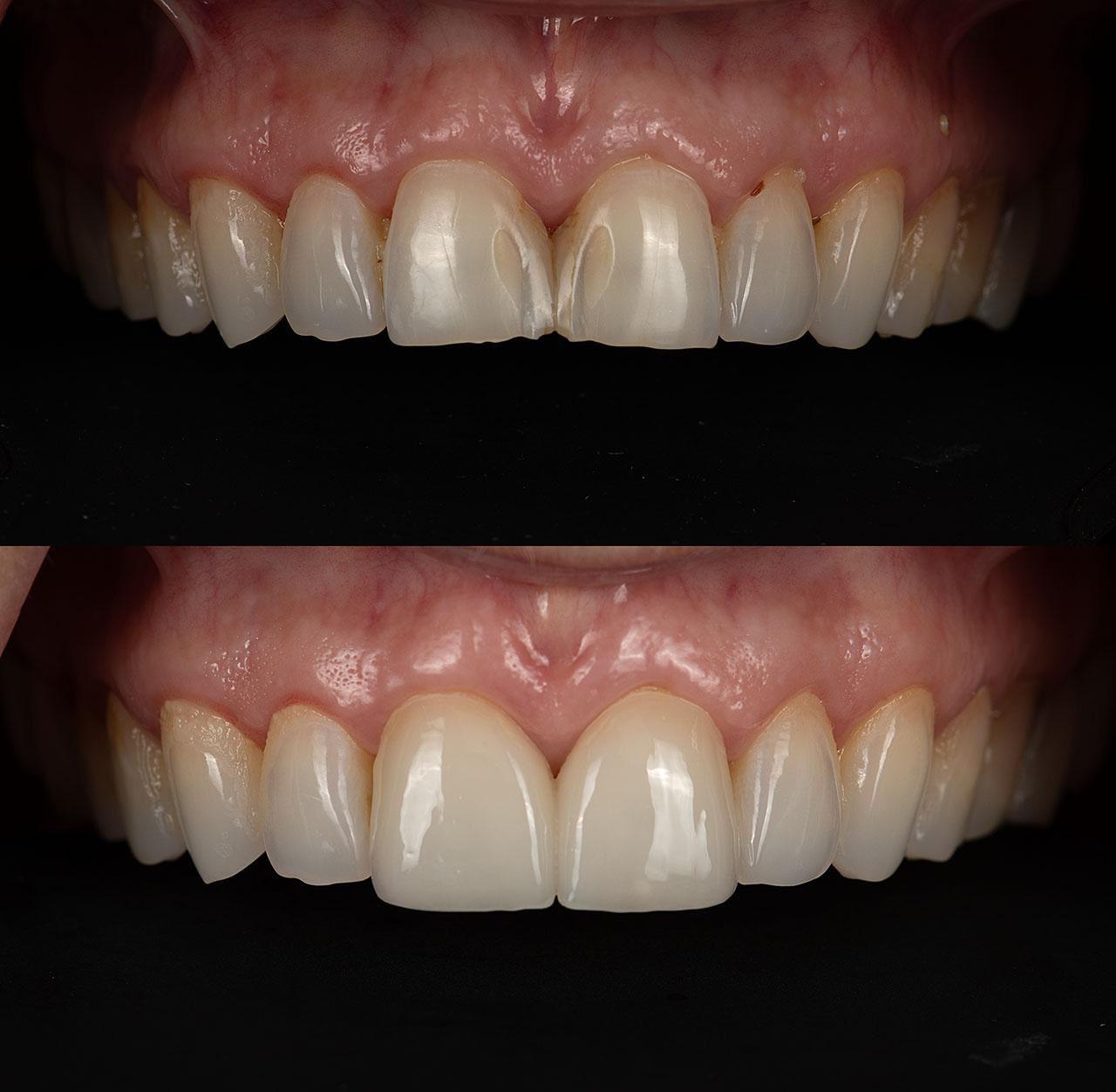
Transforming smiles